Последние новости за день в Самаре и Самарской области — События, происшествия, аналитика | СОВА - главные новости Самары

27 февраля 2023

Общество

Снизить риски: врач дал рекомендации по профилактике рака легкого

Врач отметил, что в группу особого риска в первую очередь входят курильщики и люди, работающие на производстве асбеста, лакокрасочных материалов, на угольных шахтах.

- Среднестатистический больной раком легкого — это курящий мужчина в возрасте примерно 50-60 лет. Но нередко встречаются и такие пациенты, которые никогда не курили, не работали на вредных производствах, а у них рак легкого. В этом случае мы говорим о стечении нескольких обстоятельств: генетические факторы и неблагоприятное влияние факторов внешней среды, — объяснил Астраханцев.

Эксперт добавил, что рак легкого — одно из немногих онкологических заболеваний, которое можно профилактировать. Для этого может быть достаточно бросить курить, так как табак увеличивает вероятность возникновения недуга в 10-12 раз.

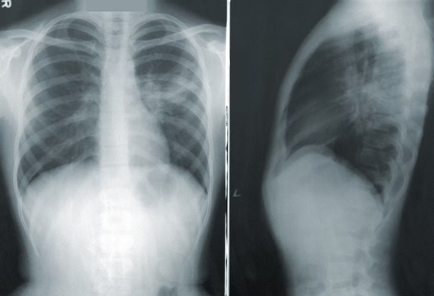
Врач также отметил, что чаще всего это заболевание выявляется на поздних сроках. Именно поэтому рекомендовано раз в год делать флюорографию или рентгенографию.

- Рентген более предпочтителен. КТ была бы еще лучше, но это дорогостоящий метод исследования. При регулярном обследовании можно "поймать" рак на ранней стадии, а чем менее распространенный процесс, тем больше у нас шансов помочь больному.

Но бывает и такое, что у пациента, регулярно проходившего обследование, на повторном приеме выявляют запущенную стадию рака. Это объясняется агрессивностью заболевания. Врач пояснил:

- Локальные формы опухоли первой и второй стадии, а в некоторых случаях и 3A-стадии лечатся хирургическим путем. Сейчас проводятся органосохраняющие вмешательства, когда удаляется часть, доли легкого.

Специалист добавил, что сейчас меняются стандарты лечения. Все чаще используется комбинированный и комплексный подход.

- Проводим предоперационную химиотерапию/химиоиммунотерапию, при распространенных формах рака можем назначить химиолучевую терапию. Образно говоря, мы по одной бусинке собираем ожерелье из нескольких видов лечения и добиваемся хороших результатов.

Ранее самарский онколог рассказал, какие продукты нужно есть для профилактики рака.

Материалы по теме:  Самарский онколог рассказал, какие продукты нужно есть для профилактики рака / Минздрав: курение в 30 раз увеличивает риск онкологии / Более 12500 обследований: в Самаре подвели итоги года работы центра амбулаторной онкологической помощи

Фото(множ):  Загрузить

Дата изменения:  15.10.2023 14:37:35

Кем изменен (имя):  (derevyaka90) Наталья Николаева

Активность:  Y