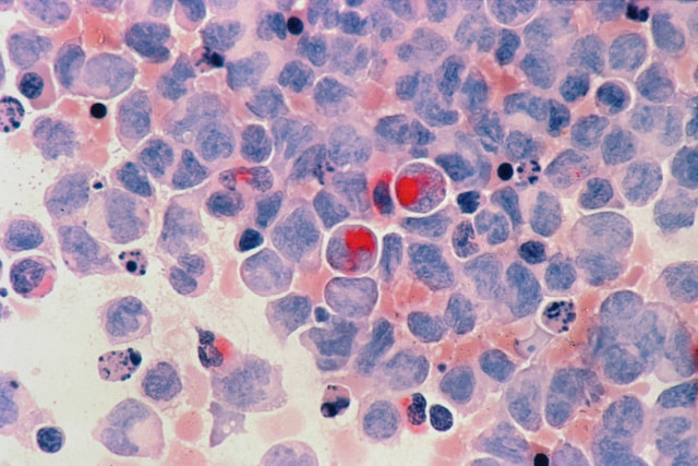
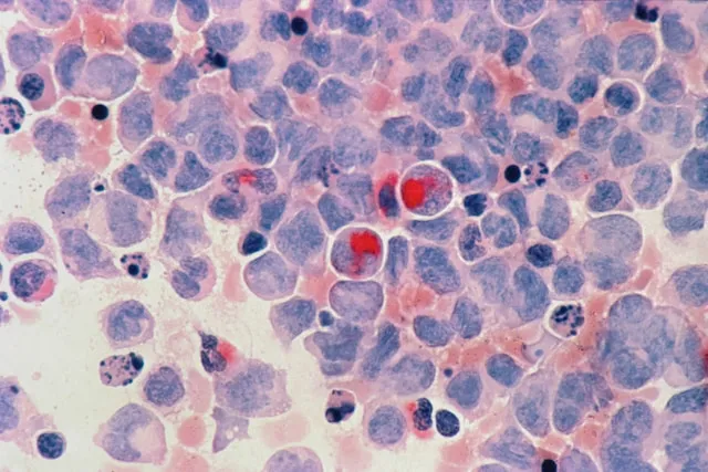
В столичном вузе создали новую форму фермента L-аспарагиназа - важного препарата для лечения лимфобластного лейкоза - злокачественного заболевания крови.
L-аспарагиназа расщепляет аминокислоту аспарагин, необходимую для синтеза белков и роста клеток.
Исследователи присоединили к молекуле фермента специальные вещества - полиамины, которые помогают препарату точнее находить и уничтожать раковые клетки.
Благодаря этой модификации лекарство стало гораздо эффективнее, дольше действует в организме и вызывает меньше побочных эффектов.
В перспективе разработка позволит создать препарат, который можно будет вводить пациентам реже, чем аналоги, - раз в 7-14 дней. Для сравнения: сейчас интервал составляет в среднем два-три дня.
Эксперты полагают, что это значительно снизит риск побочных эффектов и сделает терапию более щадящей.
Сейчас работа находится на стадии лабораторных опытов. Об этом сообщает RT со ссылкой на пресс-службу Российского научного фонда (РНФ).
- Будущие исследования позволят найти лучшую форму препарата для наиболее эффективного поглощения раковыми клетками и их избирательного уничтожения. В дальнейшем мы планируем применить наш подход на различных типах клеток, в том числе на клетках пациентов с онкологическими заболеваниями, - рассказала руководитель проекта, поддержанного грантом РНФ, доктор химических наук, профессор химического факультета Елена Кудряшова.
Ранее в России создали композит для адресного лечения рака.
