Последние новости за день в Самаре и Самарской области — События, происшествия, аналитика | СОВА - главные новости Самары

9 июня 2024

Общество

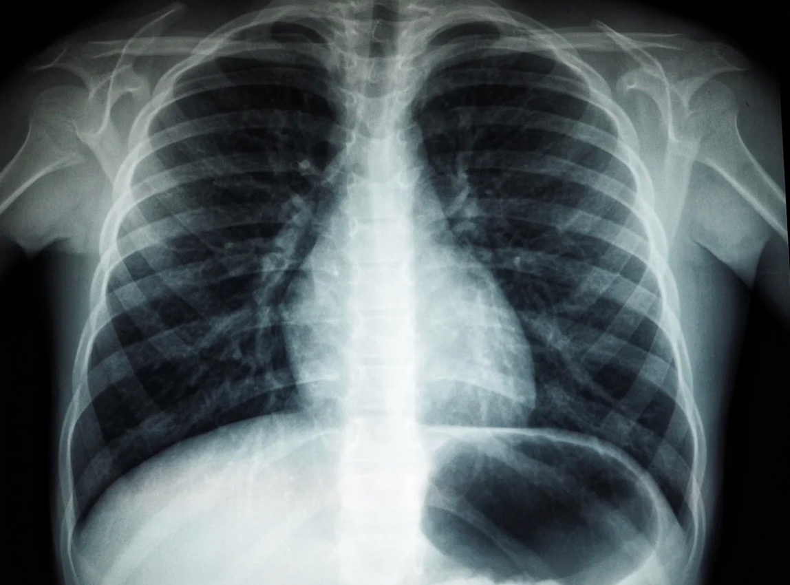
Минздрав: ранняя диагностика и скрининг - самая эффективная профилактика рака легких

Директор НМИЦ онкологии им. Н. Н. Петрова Минздрава России Алексей Беляев подчеркнул: сейчас в стране уже существует и теоретическая основа, и практические примеры реализации подходов к ранней диагностике рака и скринингу. И в данный момент ведется масштабная работа по налаживанию маршрута пациента после выявления проблем с легкими.

Врач уверен, что важно в этом вопросе более детально подходить к развитию цифровизации российского здравоохранения и создать единую информационную систему. Это поможет быстрее поставить точный диагноз человеку и приступить к необходимому лечению.

Ранее онколог рассказал, почему он не рекомендует пациентам с раком лечиться травами.

Материалы по теме:  Онколог не рекомендует больным раком людям лечиться травами  / Главный онколог Самарской области рассказал, что курение вызывает 12 видов рака / Онколог рассказал о симптомах и факторах развития рака щитовидной железы

Фото(множ):  Загрузить

Теги:   / 

Дата изменения:  08.06.2024 10:44:18

Кем изменен (имя):  (corrector3) Зоя Сакулина

Активность:  Y