Итак, давайте попробуем решить задачу, в которой дано: А - несостоятельные, иначе говоря, разрушенные зубы, например на верхней челюсти, и Б - одни сутки на исправление ситуации. Вопрос: сможет ли пациент получить новую идеальную улыбку за столь короткий промежуток времени и в качестве испытания зубов на прочность съесть яблоко в этот же день вечером? А как дополнительное условие предлагается воспользоваться на выбор классической технологией протезирования, когда при потере всех зубов челюсти необходимо устанавливать 6 имплантатов, проводить костную пластику либо пойти по иному пути и познакомиться с технологией срочной реабилитации пациента.
Фото: "Реавиз"
Фото: "Реавиз"
Теперь попробуем разобраться с альтернативным решением - методикой "Зубы за 1 день". Если коротко, то в списке манипуляций - удаление, если оно необходимо, установка 4 имплантатов (происходит это с помощью хирургического шаблона с точностью до миллиметра сразу в запрограммированные позиции без разрезов десны), сканирование и фиксация несъемной ортопедической конструкции.
И все это занимает от нескольких часов до одного рабочего дня в зависимости от объема работы. Пока пациент отдыхает, происходит моделирование и фрезерование будущих стоматологических конструкций.
Фото: "Реавиз"
Фото: "Реавиз"
Фото: "Реавиз"
Весь операционный день наполнен максимальным комфортом: не требуются слепки, нет никаких болевых ощущений, к тому же ощущается постоянная забота и внимание со стороны всего медицинского персонала. Важно: для пациентов с хроническими заболеваниями при необходимости можно подключить врачей смежных специальностей. Вся работа ведется по четким стандартам и отработанным протоколам.
Фото: "Реавиз"
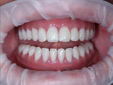
Осталось резюмировать. Стоит ли доверять рекламным заголовкам? В данном случае - да. Методика "Зубы за 1 день" действительно позволяет при помощи несъёмного протезирования в кратчайшие сроки и с минимальным бюджетом восстановить жевательную функцию даже при утрате всех зубов.
Фото: "Реавиз"
Однако перед тем как сделать выбор в пользу современной методики, необходимо пообщаться с врачом, записавшись на предварительную консультацию. Здесь можно задать любой интересующий вопрос, поскольку каждый случай индивидуален и требует особого внимания.
На правах рекламы
___________________________________________________________________________
Академия стоматологии "Реавиз"
Адреса: Самара, ул. Г. Димитрова, 75, тел. 321-18 -88;
ул. Советской Армии, 243, тел. 321-14-44;
ул. Стара-Загора, 85, тел. 321-11-44.
Сайт: reaviz.com
Соцсети:
https://vk.com/reavizcom
https://www.instagram.com/clinica_reaviz/
https://www.youtube.com/channel/UCkcnSgT4_XcwwGjE6o_E..
ИМЕЮТСЯ ПРОТИВОПОКАЗАНИЯ. НЕОБХОДИМА КОНСУЛЬТАЦИЯ СПЕЦИАЛИСТА
