Последние новости за день в Самаре и Самарской области — События, происшествия, аналитика | СОВА - главные новости Самары

30 августа 2024

Общество

Эксперты рассказали о симптомах и последствиях болезни вейперов EVALI

Что входит в состав жидкостей для вейпов?

Классический рецепт чаще всего "радует" пропиленгликолем, глицерином, никотином и разнообразными ароматическими добавками. При нагревании смесь выделяет токсические соединения.

Как болезнь EVALI влияет на организм?

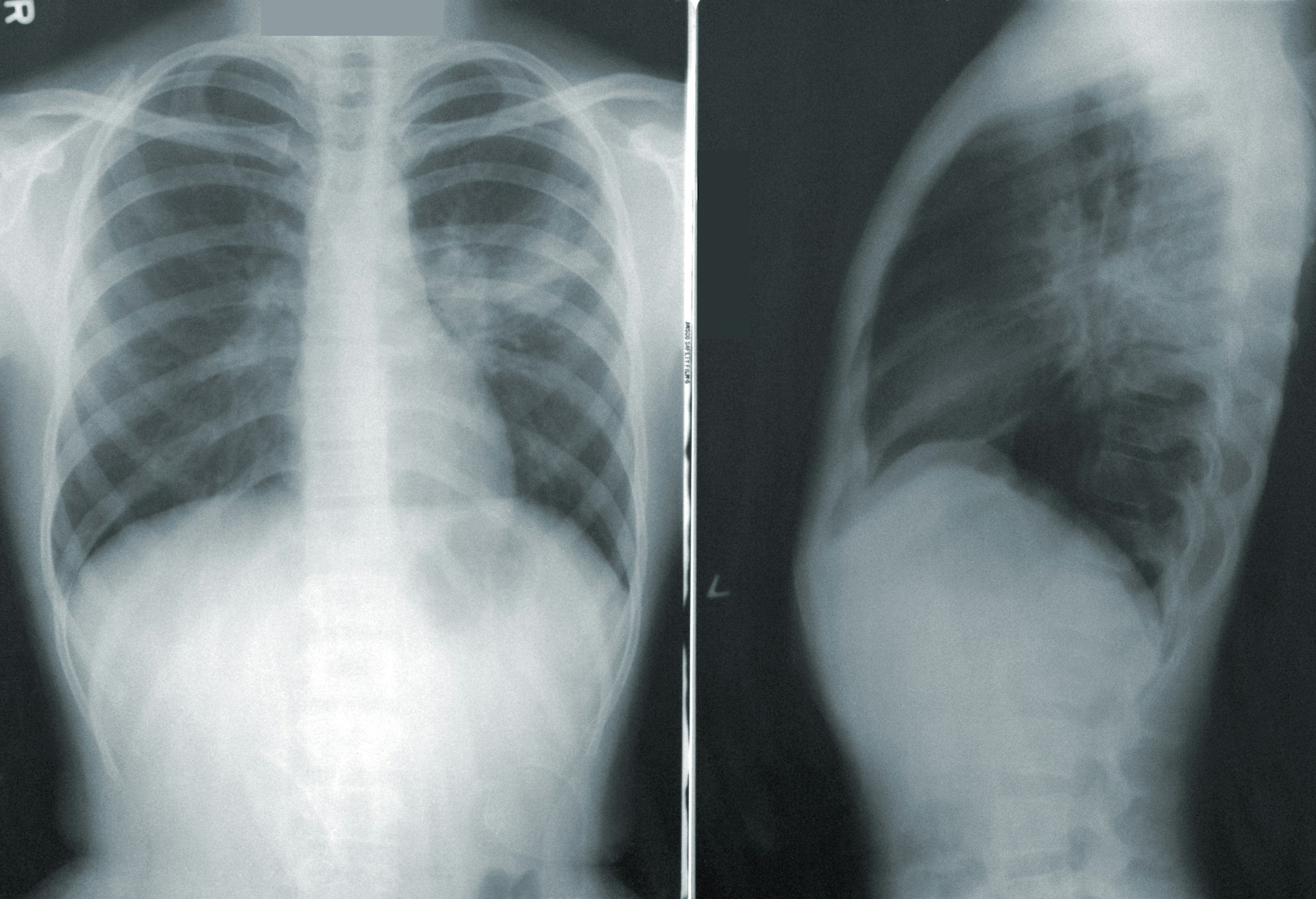
По словам доктора медицинских наук Заура Шугушева, у пациентов, страдающих от нее, стремительно меняется легочная ткань. Все это происходит из-за воспаления, которое вызвано вдыханием токсических веществ, травмами или инфекционными заболеваниями.

К чему может привести болезнь вейперов?

В первую очередь EVALI способна вызвать синдром острой дыхательной недостаточности (ARDS). Врачи Ирина Окольникова и Алексей Хухрев предупреждают, что смертность в процентных показателях достаточно высока - от 30 до 50.

При данном синдроме легкие перестают насыщать кровь кислородом. Такое состояние требует подключения человека к искусственной вентиляции легких.

А в центре гигиенического образования населения Роспотребнадзора (ЦГОН) объяснили, что от вейпов в легкие попадают масла, которые провоцируют липоидную пневмонию, которая представляет смертельную опасность для человека.

Симптомы болезни EVALI

Они во многом похожи на коронавирусную инфекцию. Пациенты чаще всего жалуются на общую слабость, повышенную температуру, кашель и одышку. Однако, в отличие от COVID-19, у данного заболевания одним из первых симптомов является нарушение пищеварительной системы.

Выявить патологические изменения можно после проведения компьютерной томографии.

История возникновения EVALI

В Министерстве здравоохранения РФ рассказали, что изучение болезни от вейпа и электронных сигарет замедлилось из-за пандемии коронавируса, когда симптомы были очень похожи.

Впервые ее диагностировали в 2019 году в США. Заболеванию дали название EVALI (от E-cigarette and Vaping use-Associated Lung Injury), что дословно переводится как "Повреждение легких, связанное с употреблением электронных сигарет и вейпа".

За последние пять лет в Америке, по официальным данным, от EVALI погибли 68 человек, еще 3 000 пострадали, а сотни стали инвалидами на всю жизнь, сообщает Forbes.

Также известно, что в России запретят жидкости с добавками для вейпов.

Материалы по теме:  Минздрав: температура, кашель и одышка могут быть симптомами новой болезни легких / Торакальный хирург: рак лёгких часто развивается бессимптомно / Эндокринолог рассказал, чем опасно курение в жару

Фото(множ):  Загрузить

Теги:   /  / 

Дата изменения:  30.08.2024 18:11:36

Кем изменен (имя):  (k.a.moroz) Ксения Морозова

Активность:  Y