Последние новости за день в Самаре и Самарской области — События, происшествия, аналитика | СОВА - главные новости Самары

6 сентября 2024

Общество

Болезнь вейперов добралась до Алтайского края

Заболевание все чаще стало поражать любителей вейпов и электронных сигарет.

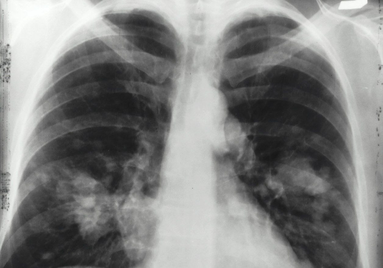
Эксперты объясняют, что оно похоже на пневмонию, только среди специфических симптомов - дыхательная недостаточность.

Именно поэтому Эвали диагностируют по остаточному принципу.

Важно обратить внимание на следующие признаки: боль в груди, кашель, в том числе с мокротой, одышка, тахикардия, кровохаркание, проблемы с ЖКТ.

Говоря о дыхательной недостаточности, стоит отметить, что ее сложно лечить. Под угрозой поражения любой, курящий более двух месяцев. Особенно это касается подростков.

Эксперты объясняют популярность вейпов маркетингом и разными вкусами.

Медицинский психолог Полина Щербакова подчеркнула опасность иллюзии "здоровых вейпов". Они тоже способны вызвать сильную и стойкую зависимость, в том числе у детей. К тому же родители не всегда могут заподозрить что-то негативное за сладким запахом.

При этом некоторые используют "электронки" в качестве способа бросить курить, хотя этот та же вредная привычка.

Врачи подчеркнули, что ее можно побороть с помощью переключения на другую деятельность, которая будет приносить удовольствие, сообщает tolknews.ru.

Ранее эксперты рассказали о симптомах и последствиях болезни вейперов.

Материалы по теме:  Минздрав: температура, кашель и одышка могут быть симптомами новой болезни легких / Торакальный хирург: рак лёгких часто развивается бессимптомно / Эндокринолог рассказал, чем опасно курение в жару

Фото(множ):  Загрузить

Теги:   /  /  /  / 

Дата изменения:  06.09.2024 17:43:13

Кем изменен (имя):  (Karlova) Karlova

Активность:  Y